연세바로척병원 척추·신경 센터
목 질환 치료법
  • 목 질환
    경추후종인대골화증
    • 정상

    • 후종인대골화증

    목 척추의 후종인대가 비정상적으로
    뼈처럼 단단해지고 두꺼워지는 질환.
    이로 인해 후종인대가 척수나 신경을 압박하게 됩니다
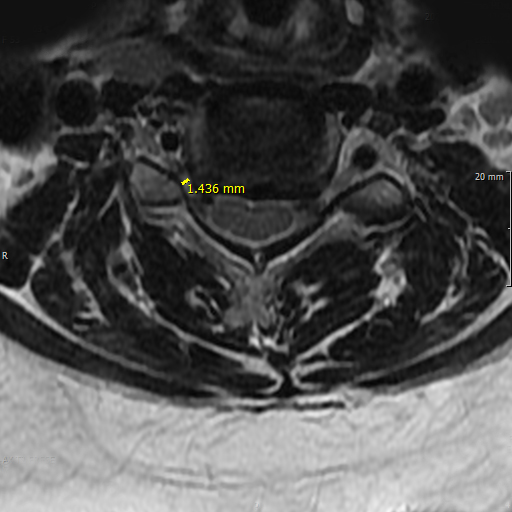
    • 경추후종인대골화증 진단
      후종인대골화증이 의심될때는 MRI검사를 시행하여 정확히 판단하는 것이 필요합니다.
      후종인대골화증은 골변성을 동반하기 때문에 단순 X-ray를 통해 발견할 순 있지만
      골화된 종괴의 모양과 크기, 척추관 협착과 압박 정도, 척수의 신경 변성 유무 등을 정밀하게 파악하기 위해서는 CT 또는 MRI를 통해 정확한 평가를 받고 치료에 대한 계획을 잡으시는 것이 중요합니다.
    경추후종인대골화증 치료방법
    • 비수술적 치료

      주로 초기에 시행하며 환자의 상태에 따라 통증과 염증을
      완화시키기 위해 소염진통제를 복용하고, 보조기착용,
      스테로이드 주사치료, 물리치료를 병행하기도 합니다.
    • 수술적 치료

      경추의 경우 전방 접근법으로 척추체 제거술을 시행한 후 골화 부위를 제거하는 것이 가장 좋은 방법입니다. 하지만 여러 곳에서 골화가 진행되었거나 척수 손상이 우려될 경우 후궁절체술이나 척추후궁성형술을 시행합니다.
  • 목 질환
    일자목 증후군
    • 정상

    • 탈출된 디스크

    목 척추의 정상적인 커브가 사라지고
    일직선으로 변형된 상태입니다.
    정상적인 경추는 C자형 커브를 이루고 있지만,
    잘못된 자세나 생활습관으로 인해
    경추가 일직선으로 펴지게 되는 질환입니다.
    • 일자목 증후군 진단
      거북목 상태는 외이도(귓구멍)에서 내린 수직선이 어깨의 중심에서 내린 수직선보다 앞에 놓인 상태입니다.
      이를 이용하여 자가 진단 해볼 수 있습니다. 거북목 상태에 해당하는 사람이 목이나 어깨에 통증을 느낄 때 거북목 증후군으로 진단합니다. 다른 목 질환과의 감별을 위해 경추부 X선 촬영(X-ray),
      자기공명영상검사(MRI) 등의 정밀검사가 필요할 수 있습니다.
    일자목 증후군 치료방법
    • 비수술적 치료

      증상 초기에는 약물치료, 물리치료, 자세교정 등의 비수술적 치료를 시행합니다. 잘못된 생활습관에 의한 현대질환으로
      바른 자세를 유지하는 교정치료가 중요합니다.
    • 수술적 치료

      보존적 치료에도 통증이 지속되거나 호전되지 않으면 수술적 치료를 시행합니다.
  • 목 질환
    목디스크
    • 정상

    • 탈출된 디스크

    목디스크는 경추 사이에 있는 디스크가
    탈출하거나 손상
    되어 신경을 압박하고
    목, 어깨, 팔 등에 통증과 신경학적 증상을
    일으키는 질환입니다.
    • 목디스크 진단
      추간판탈출증의 진단을 위해 병력 청취와 신체검진을 시행합니다.
      필요할 경우 방사선 검사 등 추가적인 검사를 시행합니다.

      병력 청취 : 병력을 확인하면서 통증의 양상이나 동반질환 여부, 가족 중 유사한 질환을 가진 사람의 여부 등을 파악합니다.

      신체검진 : 상당수 추간판탈출증은 병력 청취와 신체검진만으로 충분히 진단할 수 있습니다. 신경학적 검사를 통해 심부 건반사, 감각, 근력 등의 이상 여부를 확인합니다.

      영상검사 및 기타검사 : 병력 청취와 신체검사를 마친 후 필요할 경우 다음의 검사들을 추가로 시행하기도 합니다.

    목디스크 치료방법
    • 비수술적 치료

      증상 초기에는 약물치료, 물리치료, 보조기 치료 등의 보존적 치료를 시행합니다.
      충분한 휴식과 바른 자세를 유지할 경우 호전 되기도 합니다.
    • 수술적 치료

      탈출된 디스크를 제거하고 인접 척추를 유합하여 신경 압박을 완화하거나, 손상된 디스크를 제거인공 디스크로 교체하여 척추의 움직임을 유지합니다.
  • 목 질환
    경추관협착증
    • 정상

    • 경추관협착증

    경추관협착증은 척추관이 노화되거나 잦은 사용 등 다양한 원인에 의해 변형되어
    신경을 압박하여 감각 이상과 통증이 발생하는 질환입니다.
    • 경추관협착증 진단
      문진을 통해 환자의 증상 및 신체 기능을 확인하고 X-ray, MRI를 필수적으로 진행합니다.
      경우에 따라 CT, 척수강조영술이 필요할 수 있습니다.
    경추관협착증 치료방법
    • 비수술적 치료

      소염 진통제나 근 이완제 등으로 통증과 염증을 조절하기 위해 약물치료 합니다.
      통증이 심할 경우 스테로이드 주사치료를 하면 단기간에 통증과 염증의 완화 효과를 얻을 수 있습니다. 이와 함께 도수치료와 물리치료 그리고 재활운동을 병행하면 치료 효과를 높일 수 있습니다.
    • 수술적 치료

      전방감압술 : 추간판, 골극 제거 및 유합술

      후방감압술 : 후궁 절제술, 후궁 성형술 및 유합술

척추 관절 바로바로 척척!
연세바로척병원의 자부심
임상경험이 풍부한
의료진 맞춤진료
정형외과, 신경외과, 내과, 마취통증의학과, 영상의학과
각 분야별 의료진의 유기적인 협진 시스템을 통해
시술 및 비수술, 수술적 치료를 진행합니다.
분야별
특화 진료 시행
관절, 척추 등 분야별 의료진의 전문성을 바탕으로
세분화된 치료를 위한 분야별 특화 진료를 시행합니다.
  • 척추센터

  • 관절센터

  • 수/족부센터

  • 내과센터

  • 치료센터

  • 성형센터